そもそも歯石ってなに?どんなもの?
歯石は歯についた歯垢(プラーク)が唾液中の成分と混ざり合って硬くなったものです。歯石の表面は軽石のように多数の穴が開いており、歯石内部に細菌が住み着いて、そこから毒素を出します。
言うなれば、歯石は細菌の寝ぐらのようなもので、歯周病の進行を進める最大の原因になります。
歯石は口の中を鏡で覗いてもなかなか自分では気が付きません。
というのも、歯石の色が乳白色をしていて、歯の色と割と似ているため歯と歯石の区別が付きにくいのです。
またある日突然に歯石が歯に付くのではなく、最初は薄い層の歯石が徐々に厚みを増していく為、舌で触ったとしても、その変化には気が付きにくいです。歯石を取って、一回りやせ細った歯を舌で確認して、初めてこんなに歯石が着いていたんですか?と驚く患者さんが多いです。

歯石はどこにつきやすいの?
歯石は歯の表面につきます。歯肉の表面に歯石が着くことはありません。
歯石は磨き残しをした歯垢(プラーク)と唾液によって歯石は出来上がります。その生い立ちのゆえ、歯石が沈着しやすい部位があります。
まず、歯垢が残りやすいところ、歯と歯茎のキワの部位です。逆に、磨きやすい歯と歯が噛み合う面などは、そうそう歯石はつきません。
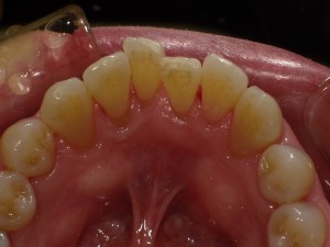
また、唾液腺の出口がある、下顎の前歯の舌側側、上顎の頬側に特に歯石がつきやすい傾向があります。特に下顎の前歯の舌側はかなり気を使って歯磨きをしていても、6ヶ月も経てば、ほとんどの方は歯石の沈着がみられます。
下の写真は下顎の前歯の内側を写した物です。左の写真は歯石の沈着が見られます。
右は綺麗に除去した後の写真です。
![]() |
![]() |
歯石はどんどん侵入してきます!?
歯石の最初の沈着は、歯と歯肉のキワから始まります。そして、その歯石を放置しておくと、次第に歯石は歯肉と骨に埋まっている歯根の表面にまで沈着してきます。
歯根にまで侵入した歯石は血液と混ざり合って、下の写真のように黒褐色になります。こうなると、歯科医院の器具を使ってもそうそう簡単にはとることはできません。完全に取り除くのにはかなりの労力を要します。
この歯根にまで侵入した歯石を放置していると、歯を支えている骨に炎症が起こり始め、立派な歯周病の完成です。
そうなる前に、まずは簡単に歯ブラシで取れる歯垢を毎日とる。
それでも沈着してしまう歯石は年に2〜3回来院して取る。
そうすれば歯周病で歯を失うという事はそうそう起こりません。
やっぱり、予防が一番簡単な治療だなと、つくづく思います。




