親知らずは口のなかで一番奥にある、20歳前後に出てくる歯ですが、
その親知らずに関するトラブルで一番多いのは、親知らずの周りに汚れが引き金となって起こる歯肉の痛みです。
そして、親知らず周りの歯肉のトラブルと同じくらいの頻度で起こるのが、親知らずの虫歯です。
親知らずの虫歯の場合は、突然穴が空いて、冷たいものに対して軽い痛みを感じるようになり、患者さんが来院されるケースがよくあります。
患者さん的には、穴があいたところを樹脂で埋めて治療を完了できたらと、来院されますが、必ずしもそうした治療方法を取らないことが多々あります。
今回は親知らずに虫歯ができてしまった時の治療法についての解説。
親知らずにできた虫歯への治療方針とは?
結論から書きますと、ほとんどの場合は抜歯が基本方針となります。虫歯の箇所を取り除いて樹脂を詰めるのではなく、単純に親知らずを抜くのが治療法としては一番です。
そもそもなぜ親知らずが虫歯になってしまったかを考えると、単純に歯ブラシが上手くできてなくて汚れが溜まりに溜まった状態で日々過ごしてきたからです。
歯ブラシによる親知らずの清掃がなぜ難しいのか?それは親知らずが歯のなかで一番奥にあるからです。
歯ブラシが届きにくく、特に頬側に汚れが多く残ります。
また歯ブラシが届きにくい部位は、同時に治療も困難を極めます。
歯医者側もよく見えない、器具が届かないなどなど。他には乾燥状態を保ちにくいなどもあります。
そのため、完全に虫歯の箇所を取り除くことができない、緊密に樹脂を詰めることができない。
など、治療結果が悪くなる要素がいっぱいの部位の治療になります。
そして患者さんも歯科医師も辛い思いをしながら治療を完了できたところで、結局また歯ブラシができない状況が続くの、虫歯が再発します。
そしたら今度は神経をとる根管治療になるわけですが、神経の管の構造が複雑でこれまた治療が上手くいかない。
とりあえず根管治療を完了させて、被せ物を装着したとしても、結局また歯磨きが届かずに虫歯が再発、あるいは、根管内に菌が繁殖して骨に炎症が波及。
そうこうしているうちに、歯を抜きましょうとなるのですが、それならば最初から時間とお金を無駄にせずに、
『抜歯をしましょう』となるのです。
![]() |
![]() |
|
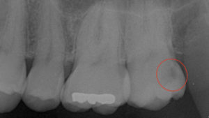
赤丸の範囲に虫歯があります。 ※クリックすると拡大 |
過去に樹脂を詰めたとのことですが、 その下で大きな虫歯になっていました。 |
残すという意見もありますが•••
小さな穴が出来ただけの患者さんは、そこを治療して詰めた後のストーリー展開は想像つかない為、抜歯を勧められて面食らう方もいます。
また、前の歯医者さんでは、親知らず以外の歯が抜歯となってしまった時に、親知らずは移植に使えるから抜かずに残しておきましょうと言われて、大事に親知らずを残している方もいます。
たしかに、移植に使えるので、残した方が良いという意見も一理あるのですが、前提として他の歯が抜歯になる時に初めて役にたちます。
そのような、『他の歯が悪くなり、抜歯にいたる状況』を期待(?)して、親知らずを残しておくのは本末転倒だという考えのが、予防医学が確立した現在では優勢だと思われます。
むしろ残す選択をした結果、手前の歯が虫歯になってしまうケースもよく目にします。
まずは、親知らず以外の歯が抜歯にならないように歯ブラシを丁寧に時間をかけてやる、定期的に歯科医院に検診してもらうなどをしていれば、ほとんどの場合は歯は守ることができます。
そして親知らずが虫歯になったら、さっさと抜く、他の歯を守るが妥当な考えだと思われます。
![]() |
![]() |
|
親知らずの一個前の歯が 親知らずのせいで虫歯に なってしまいました。 |
親知らずを抜いた後のレントゲン写真。 赤い丸の中が虫歯になっています。 |
親知らずが虫歯にならないために、できること。
前述したように親知らずは虫歯になりやすいのですが、その原因としては歯ブラシがしっかりと当たらず、プラークが付着したままで過ごしているからです。
一番奥にあるので、当然磨きにくいのですが、さらにブラシの到達の邪魔をしている要因が頬の筋肉です。大きく口を開けると頬の筋肉が張って固くなります。すると、ブラシを奥まで入れようとしても、ブラシが硬直した筋肉に遮られて、ブラシが親知らずまで到達しないことがよくあります。
親知らずをキレイに磨くためには、あまり大きく口を開けずに、かるく閉じ気味で磨くとブラシが到達しやすいのお試しください。
また定期的なクリーニングも大切です。御茶ノ水 杏雲ビル歯科では、衛生士によるブラシの指導、またクリーニングを行なっております。ご気軽にお問い合わせください。





